Telefone
(19) 9 8913-5177
Localização
Av. Dr. Jesuino Marcondes Machado, nº1199 Bairro Nova Campinas *Estacionamento próprio
Nossos Horários
Segunda à Sexta, das 8h às 20h
RT: Bianca Rondini Hitos CROSP 120.671
(19) 9 8913-5177
Av. Dr. Jesuino Marcondes Machado, nº1199 Bairro Nova Campinas *Estacionamento próprio
Segunda à Sexta, das 8h às 20h
RT: Bianca Rondini Hitos CROSP 120.671
A HEAL ODONTOLOGIA é uma clínica especializada em implantes dentários e informamos que NÃO REALIZAMOS tratamentos GRATUITOS ou pelo SUS
Os implantes dentários são estruturas de titânio colocadas no osso da mandíbula ou maxila para substituir raízes dentárias perdidas ou ausentes. Eles servem como base para a colocação de próteses dentárias fixas ou removíveis, como coroas, pontes e dentaduras, proporcionando uma solução permanente e esteticamente agradável para a perda de dentes.
Já o protocolo dentário é um tipo de técnica cirúrgica que utiliza implantes dentários para fixar uma prótese total (dentadura) na boca do paciente. Em vez de usar uma prótese móvel, o protocolo dentário usa uma prótese fixa, que é colocada sobre vários implantes dentários, proporcionando mais estabilidade e uma aparência natural para o paciente.









Bianca Rondini Hitos CROSP: 120.671- Clinica Geral
Fundadora, gestora e cirurgiã-denstista da Heal Odontologia. Graduada na Faculdade de Odontologia da Universidade Estadual Paulista Júlio de Mesquita Filho – UNESP Araraquara – SP. Realizou parte de sua formação na Western Kentucky University (WKU) nos Estados Unidos. Realiza procedimentos de implantes dentários, reabilitações, cirurgias e harmonização orofacial.
João Pedro do P. Moura Romanini CROSP: 130.707 - Clinico Geral
Fundador, gestor e cirurgião-denstista da Heal Odontologia. Graduado na Faculdade de Odontologia de Bauru, Universidade de São Paulo (FOB-USP). Realiza procedimentos proteticos de reabilitações orais, proteses fixas, removiveis e procedimentos estéticos dentais (lentes de contato dental).
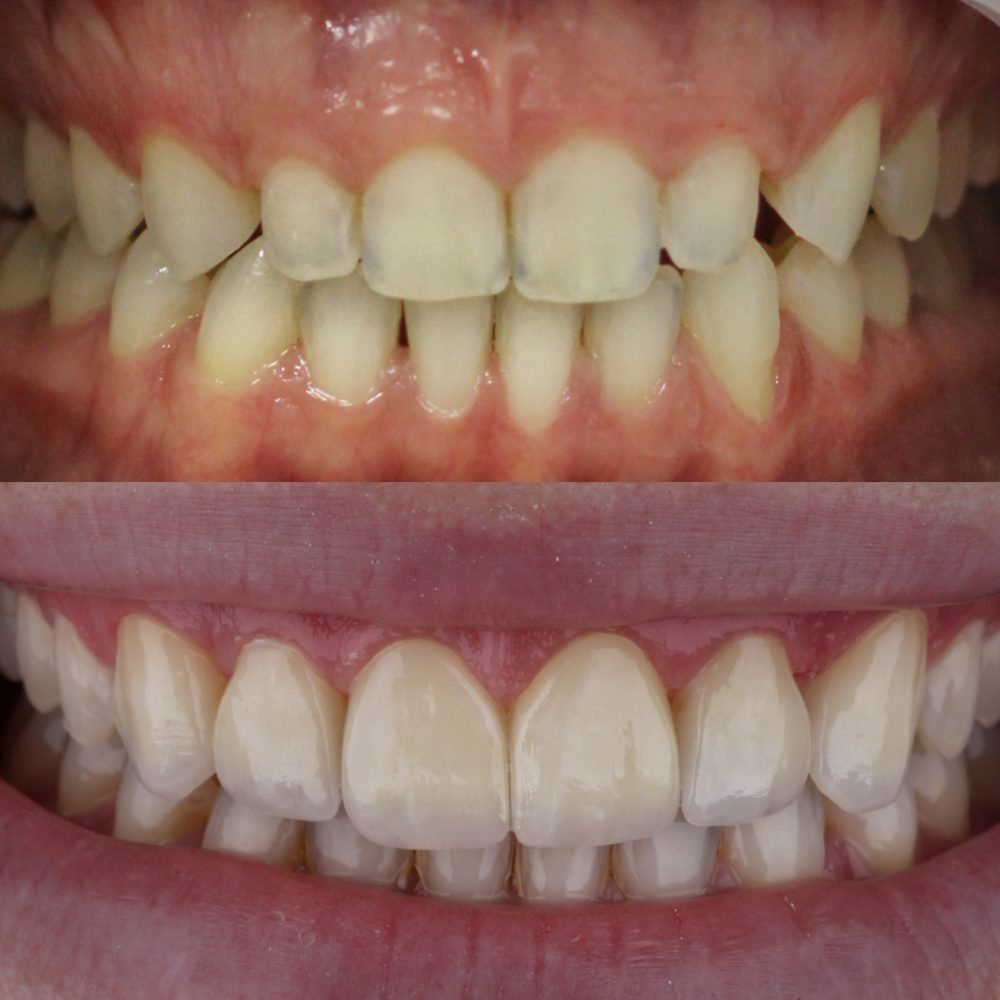
Conheça alguns dos nossos sorrisos transformados!
A HEAL ODONTOLOGIA é uma clínica especializada em implantes dentários e informamos que NÃO REALIZAMOS tratamentos GRATUITOS ou pelo SUS